When it comes to producing trophy largemouth bass, knowing the genetics of your bass population is critical. With knowing the genetic strain of your largemouth bass population, we can make more informed management decisions. We can also look beyond just the genetic strain of your largemouth bass, by identifying exclusive genetic markers associated with trophy-sized fish as well as the genetic diversity and relatedness within your population.
By knowing this information, AES can develop a management plan to enhance the trophy potential of your largemouth bass population, as well developing a plan for managing genetic health, inbreeding prevention, and promote a more genetically robust and diverse largemouth bass population.
If you want to take the management of your fishery to the next level, we highly recommend a DNA analysis of your bass population. Collecting DNA samples is harmless to the fish and is simply done by swabbing the inside of the fish’s mouth.




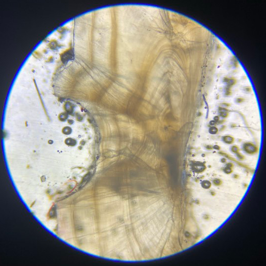
Age/Growth Analysis
Knowing the age structure of your bass provides much more valuable information than simply knowing the relative weights of your fish. You may have heard the term “buck bass” which are often 10-12” largemouth bass that most people think are very young bass. However, in most cases these bass could easily be 4-6 years old and only 10-12” in length. By diving into the age structure of your bass population, we can see where the growth of your bass population is slowing or hitting a wall as well as getting a better understanding on the age structure of your bass population. Knowing the age structure will also direct the management strategy for your fishery. For example, if the average size of the bass population is 12-14” and most of these fish are five years old or older, it is best to drain the lake and start over versus trying to improve these fish since they have wasted years of their life not growing. Of course, this depends on your goals for the fishery as well.
At AES, we utilize otoliths for age determination. Otoliths, also known as “ear stones” are bony structures that help fish with orientation and balance, similar to our middle ear. To remove the otoliths, the fish must be sacrificed, and the otoliths are processed at AES’s Headquarters by experienced biologists.
